Земля на 70% состоит из воды, и, согласно Национальной океанской службе, мы исследовали только менее 5% океана, остальное остается загадкой, поскольку на Луне побывало больше людей, чем в глубинах океанов. В адской зоне нет кислорода, температура низкая, а давление очень высокое, в реальной жизни существа глубин адской зоны не могут выходить за её пределы, потому что они обязаны выживать.

Разгадку пигмента самых черных рыб, обитающих в глубинах Мирового океана на глубене 200 метров, исследовали биологи из Смитсоновского института в Вашингтоне. Их кожа работает как ловушка для световых лучей. Камуфляж 100-процентной эффективности описан в журнале Current Biology, открытие может привести к созданию новых ультра черных материалов.
Пигментные частицы вместо того, чтобы отражать свет, перенаправляют его вбок, увеличивая длину оптического пути в слой тех же частиц. Свет уже не выходит оттуда, такая ловушка. Кожа, захватывающая свет, подобно черной дыре в космосе, камуфлирует и маскирует на больших глубинах в тёмых водах, с биолюминесцентным освещением других существ. Выживание в ультра черном цвете.
16 видов глубоководных рыб на глубине 200 м имеют ультра чёрную кожу (коэффициент отражения 0,5%) при длине волны 480 нм (приблизительно максимальная длина волны глубоководного окружающего солнечного света и большей части океанической биолюминесценции), а остальные два вида (Chauliodus macouni и Cyclothone acclinidens) отражали менее 0,6 % при 480 нм.
Рыбы достигают низкой отражательной способности, используя непрерывный слой меланосом в коже
Размер и форма этих меланосом оптимальны для уменьшения отражательной способности.
Прозрачность и зеркальные поверхности - обычные камуфляжные стратегии при диффузном солнечном освещении, но они заметны при направленном освещении биолюминесцентными источниками рыбьих приспособлений от поверхности тела. Пигментация ультра чёрных рыб позволяет поглощать свет от биолюминесцентных источников, делая их визуально необнаруживаемыми на темном фоне глубокого моря, как эффект чёрных дыр в космосе.
Эволюция, направленная на уменьшение отражения биолюминесценции, привело к развитию ультра-черной кожи (коэффициент отражения 0,5%) у 16 видов глубоководных рыб в семи отдаленных отрядах.
Гистологические данные показали непрерывный слой плотно упакованных меланосом в самом внешнем слое дермы, в этом слое отсутствуют пигментные промежутки между пигментными клетками, обнаруженными у других рыб, окрашенных в темный цвет.
Меланосома есть и у человека, это органелла, имеющая в составе меланин и другие светопоглощающие пигменты. Клетки, содержащие меланосомы, называются меланоцитами.
Снижая отражательную способность, ультра-черная рыба может уменьшить дистанцию обнаружения себя для хищников более чем в 6 раз по сравнению с рыбой с отражательной способностью 2%.
Животные в открытом океане демонстрируют несколько стратегий для маскировки от хищников: зеркальные поверхности, прозрачность, контр свет и пигментация. Прозрачность и зеркальная маскировка наиболее эффективны при рассеянном окружающем освещении и, таким образом, чаще встречаются в поверхностных водах. Контр свет работает путем замены исходящего света блокированием тела и светом собственных фотофор, но не защищает организмы от хищников, наблюдающих сбоку или сверху. Пигментация распространена у пелагических животных на всех глубинах, однако, в мезопелагическом и батипелагическом царствах, где солнечного освещения мало и рыбы тягаются своими биолюминесцентными примочками, пигментация может быть особенно эффективной стратегией маскировки. Зеркальные поверхности и белые животные отражают 50% света, прозрачные животные отражают 0,4%, этого достаточно для обнаружения, когда зрение настроено для обнаружения всего нескольких фотонов. Из-за доли неэффективности этих других методов маскировки против биолюминесценции есть предположение, что избирательная эволюция приведет к развитию пигментированных поверхностей тела до почти нулевой отражательной способности у глубоководных животных.
Сосредоточимся на глубоководных рыбах, которые ультра черные, а не на глубоководных беспозвоночных, которые обычно красные, но выглядят черными из-за недостатка красного спектра на глубине, потому что исследование ультра чёрных приведёт нас к синтетическим ультра-черным краскам, пигментам, материалам.
Chauliodus macouni и Cyclothone acclinidens отражают менее 0,6 % при 480 нм. Средняя отражательная способность по видимому спектру для каждого вида варьируется от 0,051% до 1,04%, при этом у 14 видов коэффициент широкополосного отражения составил 0,5%. Этот низкий коэффициент отражения ставит глубоководных рыб в один ряд с самыми черными из известных животных, причем виды, демонстрирующие самый низкий коэффициент отражения, Oneirodes sp .; 0,044% при 480 нм; 0,051% средний коэффициент отражения от 350 до 700 нм, превосходят чёрный пигмент ультра-черных бабочек (коэффициент отражения 0,06% –0,5%) и равен самым черным райским птицам (коэффициент отражения 0,05% –0,31%).
Для сравнения, искусственные материалы, такие как черная бумага, отражают ~ 10% падающего света, а самые черные синтетические материалы, изготовленные из вертикально выровненных углеродных нанотрубок, отражают 0,045% света.
За исключением Cyclothone acclinidens, Chauliodus macouni и Sigmops elongatus, ультра черная кожа покрывает большую часть тела рыб, что позволяет предположить, что она функционирует для уменьшения отражения от биолюминесценции (включая прожекторы хищников и защитные реакции добычи). Гипотетически, ультра-черная кожа засадных хищников, использующих приманки, такие как Oneirodes sp., Eustomias spp. и Astronesthes micropogon, служит для уменьшения отражения от их собственных биолюминесцентных приманок. У таких видов, как S. elongatum и C. macouni, ультра-черная кожа обнаруживается над и под зеркальной полосой, проходящей по всей длине тела, что позволяет предположить, что для областей тела с высокой кривизной, где может быть применен менее эффективный зеркальный камуфляж, ультра-черный пигмент может обеспечить ему в будущем замену. Наконец, ультра черная кожа обнаруживается только вокруг кишечника у видов, подобных C. acclinidens, и, может использоваться для сокрытия света, испускаемого недавно потребленной биолюминесцентной добычей.
Слоистые меланосомные слои обеспечивают чрезвычайно низкую отражательную способность у ультра-черных рыб.
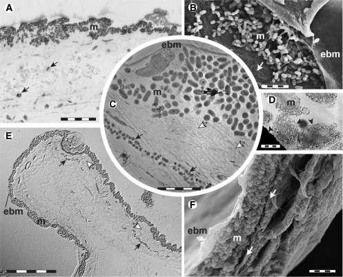
При сканирующей электронной микроскопии (SEM), просвечивающей электронной микроскопии (TEM) и световой микроскопии для оценки ультраструктуры кожи, лежащей в основе ультра-черной окраски, у девяти ультра-черных видов был обнаружен слой мелкоупакованных меланосом (органелл, содержащих меланин), которые непрерывно расширяются с небольшими, если таковые имеются, непигментированными пробелами и без четкого разделения на отдельные меланофоры (пигментные клетки, содержащие меланосомы). Такая непрерывность в слое меланосом особо контрастирует со многими другими пигментами, не так, как у простых темно пигментированных (но не ультра-черных) рыб, где меланофоры в коже разделены непигментированными промежутками, занятыми коллагеном и другими клетками. Средняя толщина слоя меланосомы у ультрачерных видов составляла 7,9 мкм (n \u003d 6 видов) с диапазоном от 2,8 ± 1,2 мкм (Eustomias schmidti) до 14,3 ± 8,7 мкм (Oneirodes sp.).


Обсуждение
Комментарии
Комментариев пока нет.